Biến chứng Implant: Nguyên nhân, Cách xử lý & Giải pháp an toàn

Biến chứng Implant: Nguyên nhân, Cách xử lý & Giải pháp an toàn
Ban biên tập Sàn Nha Khoa
Chuyên khoa: Nha khoa
Bài cập nhật: 17/10/2025
Nội dung bài viết

Trong lĩnh vực nha khoa hiện nay, trồng răng implant được coi là một trong những giải pháp tối ưu để phục hình răng mất, mang lại chức năng nhai tốt và cải thiện mỹ quan khuôn mặt. Tuy nhiên, bên cạnh những lợi ích rõ rệt, không ít trường hợp khách hàng gặp phải các biến chứng implant làm ảnh hưởng đến kết quả điều trị cũng như sức khỏe răng miệng lâu dài. Hiểu rõ các biến chứng khi trồng răng implant là bước quan trọng giúp phòng tránh, xử lý kịp thời nhằm bảo vệ chính bản thân và nâng cao tỷ lệ thành công của phương pháp này.

Trong bài viết này, chúng ta sẽ đi sâu khám phá những nguyên nhân gây ra biến chứng sau cấy ghép implant, dấu hiệu cảnh báo sớm, cách xử lý phù hợp từng tình huống và một số giải pháp phòng ngừa an toàn. Mong muốn của chúng tôi là giúp bạn có cái nhìn toàn diện, tự tin hơn khi quyết định làm răng implant, đồng thời hạn chế tối đa các rủi ro không mong muốn.

Vì sao cần tìm hiểu về biến chứng Implant trước khi trồng răng?

Trước khi quyết định thực hiện một ca cấy ghép implant, điều quan trọng là phải nhận thức được rõ ràng về các biến chứng implant có thể xảy ra. Đây không chỉ giúp bạn chủ động hơn trong quá trình điều trị, mà còn giúp kiểm soát tốt các rủi ro và đưa ra các quyết định phù hợp hơn. Với tỷ lệ thành công vượt 95%, implant nha khoa vẫn không tránh khỏi các biến chứng, nhất là khi không chuẩn bị kỹ lưỡng hoặc không tuân thủ hướng dẫn chăm sóc sau điều trị.

Khi đã hiểu rõ các biến chứng khi trồng răng implant như viêm quanh implant, implant lung lay, implant gãy hoặc nhiễm trùng, bạn sẽ dễ dàng phát hiện sớm các dấu hiệu bất thường để có biện pháp xử lý kịp thời. Đồng thời, việc này giúp giảm thiểu tối đa các hậu quả lâu dài, giảm nguy cơ phải thực hiện các hoạt động sửa chữa phức tạp, tốn kém.

Ngoài ra, việc tìm hiểu trước các nguyên nhân dẫn tới thất bại như kỹ thuật không đúng, chọn loại trụ không phù hợp hay các yếu tố từ bệnh nhân như hút thuốc, bệnh tiểu đường còn giúp bạn chủ động trong hành trình chăm sóc và theo dõi sức khỏe răng miệng. Nhờ đó, khả năng đảm bảo tỷ lệ thành công implant ngày càng cao, hướng tới một giải pháp tối ưu và bền vững.

Vì sao cần tìm hiểu về biến chứng Implant trước khi trồng răng?

Các rủi ro có thể xảy ra do thiếu hiểu biết về biến chứng implant

Chưa tìm hiểu rõ về biến chứng implant có thể dẫn đến tâm lý lo lắng, hoang mang hoặc thậm chí là bỏ qua các triệu chứng cảnh báo, tạo điều kiện thuận lợi cho các vấn đề phát triển nặng hơn. Các biến chứng này nếu không được xử lý đúng cách hoặc phát hiện muộn, có thể gây ra các vấn đề lâu dài, ảnh hưởng đến tính thẩm mỹ, khả năng nhai và thậm chí là sức khỏe tổng thể của bệnh nhân.

Hơn nữa, việc bỏ qua các dấu hiệu của viêm quanh implant, implant bị đào thải, hoặc implant lung lay có thể dẫn tới thất bại hoàn toàn của quá trình cấy ghép. Điều này bắt buộc phải tiến hành tháo trụ, điều trị phục hồi mới, kéo dài thời gian và tăng chi phí điều trị. Chính vì thế, việc trang bị kiến thức khi bắt đầu lựa chọn và thực hiện trồng răng implant là điều hết sức cần thiết để đảm bảo kết quả thành công tối đa.

Trong bối cảnh các công nghệ và vật liệu trụ implant ngày càng đa dạng, cùng với sự phát triển của các phương pháp xử lý biến chứng hiện đại, người bệnh có thêm nhiều hy vọng và lựa chọn sáng suốt hơn để nâng cao tỷ lệ thành công của quá trình cấy ghép trong tương lai gần.

Những biến chứng Implant thường gặp nhất

Các biến chứng implant có thể xuất hiện trong quá trình hoặc sau khi hoàn tất quá trình cấy ghép, tùy thuộc vào mức độ chuẩn bị, kỹ thuật thực hiện và chăm sóc hậu phẫu. Theo dự báo và thống kê mới nhất, các vấn đề này vẫn giữ vị trí chủ đạo trong số các rủi ro có thể xảy ra, đồng thời, mức độ nguy hiểm và tần suất của chúng ngày càng được các nha khoa chuyên nghiệp quan tâm và kiểm soát chặt chẽ hơn.

Việc nắm bắt rõ các dạng biến chứng phổ biến nhất giúp người bệnh có thể chuẩn bị tâm lý, chủ động phát hiện sớm và có kế hoạch điều trị phù hợp, giảm thiểu tối đa các hậu quả nghiêm trọng.

Những biến chứng Implant thường gặp nhất

Viêm quanh Implant (Peri-implantitis) – nguyên nhân & hậu quả

Viêm quanh implant là một trong những biến chứng implant phổ biến nhất, chiếm tỷ lệ khoảng 20–25% bệnh nhân sau khi cấy ghép. Nguyên nhân chủ yếu của vấn đề này bắt nguồn từ việc kiểm soát vệ sinh răng miệng không tốt sau khi cấy ghép, cộng thêm các yếu tố nguy cơ từ bệnh nhân như bệnh lý hệ thống, hút thuốc lá, vệ sinh không đều hoặc do sai kỹ thuật của bác sĩ.

Viêm quanh implant gây ra tình trạng viêm nhiễm mô mềm quanh trụ implant, lan rộng ra cả xương hàm, dẫn tới tiêu xương, mất sự bám dứt của trụ implant vào xương. Hậu quả nghiêm trọng của viêm quanh implant là làm giảm độ ổn định của răng giả, thậm chí dẫn tới mất răng implant nếu không được xử lý kịp thời. Ngoài ra, bệnh lý này còn ảnh hưởng đến sức khỏe toàn diện do vi khuẩn nhiễm trùng lan tỏa trong khoang miệng, gây ra các bệnh lý răng miệng khác.

Để hạn chế tình trạng này, xử lý biến chứng implant bằng các phương pháp vệ sinh chuyên sâu, dùng laser, kết hợp thuốc kháng sinh đặc hiệu là điều cần thiết. Các biện pháp phòng ngừa từ sớm sẽ giúp giảm thiểu nguy cơ viêm quanh implant tới mức thấp nhất, nâng cao tỷ lệ thành công của tiếp cận này trong tương lai.

Implant không tích hợp xương (osseointegration thất bại)

Implant không tích hợp xương là tình trạng trụ implant không gắn kết vững chắc vào xương hàm sau quá trình cấy ghép. Nguyên nhân chủ yếu của hiện tượng này thường bắt nguồn từ việc chọn loại implant không phù hợp, kỹ thuật cấy ghép không chính xác, hoặc bệnh nhân có các yếu tố ảnh hưởng như loãng xương, tiểu đường kiểm soát không tốt, hoặc vệ sinh răng miệng kém.

Kỹ thuật cấy ghép đúng quy trình là yếu tố quyết định chính trong việc thúc đẩy quá trình osseointegration thành công. Khi không có đủ xương, bác sĩ cần thực hiện các biện pháp hỗ trợ như ghép xương hoặc nâng xoang để tạo điều kiện tối ưu cho trụ implant bám chắc. Nếu bỏ qua bước này, kết quả thất bại là điều không thể tránh khỏi, gây tốn kém, kéo dài thời gian điều trị.

Hậu quả của implant không tích hợp xương không chỉ làm mất chức năng răng giả mà còn gây tâm lý hoang mang, ảnh hưởng đến chất lượng cuộc sống. Các phương pháp phục hồi, như tháo trụ và điều trị tích cực, sẽ là giải pháp xử lý biến chứng implant hiệu quả để đảm bảo khả năng cấy ghép lần sau thành công hơn.

Implant lung lay hoặc gãy trụ sau một thời gian sử dụng

Trong quá trình sử dụng, một số trường hợp implant lung lay hoặc gãy trụ xảy ra sau một khoảng thời gian từ khi cấy ghép. Nguyên nhân chủ yếu bao gồm lực nhai quá lớn, kỹ thuật cấy ghép sai lệch, hoặc do các bệnh lý về nướu, xương không ổn định.

Implant lung lay là biểu hiện rõ của mất ổn định, có thể do mất xương nâng đỡ hoặc do trụ implant không phù hợp. Nếu không xử lý kịp thời, tình trạng này có thể dẫn đến rụng implant hoặc gây tổn thương phần mềm xung quanh, gây đau đớn và mất thẩm mỹ cho khách hàng. Gãy trụ implant diễn ra khi vật liệu trụ quá mỏng hoặc bị tác động lực mạnh, gây ra sự cố vỡ trụ trong quá trình sinh hoạt hàng ngày.

Để khắc phục, các bác sĩ sẽ tiến hành thay trụ mới, đồng thời cân nhắc biện pháp tăng cường xương hoặc điều chỉnh lực nhai. Trong điều kiện xử lý implant bị gãy, các bước này giúp duy trì chức năng ăn nhai tốt hơn, giảm thiểu các rủi ro tiềm ẩn trong tương lai.

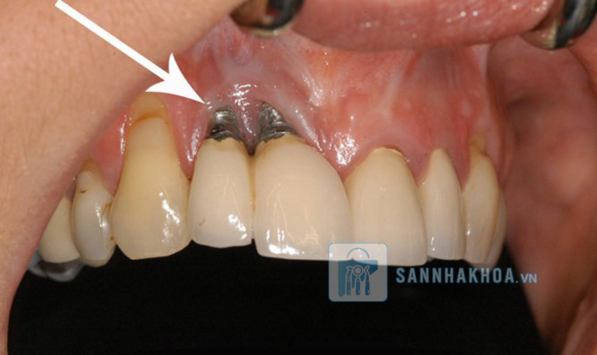
Tụt lợi quanh Implant – lộ trụ, ảnh hưởng thẩm mỹ

Tụt lợi quanh implant là hiện tượng mất mô mềm và mô xung quanh phần thân của trụ implant, gây lộ phần kim loại, mất thẩm mỹ đồng thời tạo điều kiện thuận lợi cho vi khuẩn phát triển, gây ra viêm nhiễm. Tình trạng này thường xuất hiện sau một thời gian dài chăm sóc không đúng cách hoặc do phản ứng viêm kéo dài, đặc biệt khi bệnh nhân có tiền sử bệnh lý nướu.

Nguyên nhân chính dẫn tới tụt lợi bao gồm việc không duy trì vệ sinh răng miệng đúng cách, chế độ ăn uống không hợp lý, hoặc do bác sĩ thực hiện xử lý không phù hợp trong quá trình phẫu thuật. Mô mềm bị tổn thương hay viêm nhiễm kéo dài sẽ trở thành mối nguy lớn dẫn đến mất mô, làm lộ phần trụ kim loại, ảnh hưởng trực tiếp tới khả năng giữ cố định của implant.

Để khắc phục tình trạng này, phương pháp phổ biến là ghép lợi, điều trị viêm, kết hợp các phương pháp tái tạo mô mềm, giúp phục hồi thẩm mỹ và nâng cao khả năng giữ cố định của implant. Việc phòng ngừa từ sớm và chăm sóc đúng cách sẽ là chìa khóa để hạn chế tối đa các biến chứng implant có liên quan đến tụt lợi.

Nhiễm trùng vết mổ sau cấy ghép Implant

Sau quá trình cấy ghép, nếu các quy trình vô trùng không đảm bảo, khả năng bị nhiễm trùng vết mổ là rất cao. Đây không chỉ ảnh hưởng trực tiếp tới quá trình lành thương mà còn có thể trở thành biến chứng implant gây ra các biến chứng nghiêm trọng như viêm nhiễm lan rộng, tiêu xương, thất bại cấy ghép hoặc phải tháo trụ.

Nguyên nhân dẫn tới nhiễm trùng có thể bắt nguồn từ quá trình chuẩn bị, thao tác không đảm bảo vô trùng, hoặc do bệnh nhân chăm sóc vệ sinh không đúng cách sau phẫu thuật. Ngoài ra, các yếu tố như hút thuốc, tiểu đường kiểm soát kém hay mắc các bệnh lý nền cũng làm tăng nguy cơ nhiễm trùng vết mổ sau khi cấy ghép.

Điều trị nhiễm trùng bao gồm sử dụng thuốc kháng sinh phù hợp, vệ sinh khoang miệng kỹ lưỡng, kết hợp các biện pháp hỗ trợ như laser hoặc cấy ghép mô mềm để kiểm soát vi khuẩn, từ đó giảm thiểu thất bại của quá trình implant. Phòng ngừa từ bước tiền, lựa chọn các nha khoa uy tín có cam kết vệ sinh đạt tiêu chuẩn sẽ giúp hạn chế tối đa tình trạng này.

Nguyên nhân & yếu tố nguy cơ gây biến chứng Implant

Biến chứng implant có thể bắt nguồn từ nhiều nguyên nhân khác nhau, trong đó các yếu tố nguy cơ đóng vai trò quyết định trong việc xác định khả năng gặp phải các biến chứng sau cấy ghép. Hiểu rõ các nguyên nhân này giúp gia tăng hiệu quả phòng ngừa và nâng cao tỷ lệ thành công của quy trình trồng răng implant.

Nguyên nhân & yếu tố nguy cơ gây biến chứng Implant

Yếu tố từ bệnh nhân: hút thuốc lá, tiểu đường, loãng xương, vệ sinh kém

Các yếu tố từ phía bệnh nhân như hút thuốc, bệnh tiểu đường kiểm soát kém, loãng xương hay vệ sinh răng miệng không đúng cách đều là các tác nhân làm tăng khả năng gặp các biến chứng implant. Các chất độc trong thuốc lá, ví dụ nicotine, làm giảm khả năng lành thương, cản trở quá trình tích hợp xương và tăng nguy cơ viêm nhiễm.

Bệnh tiểu đường, khi không kiểm soát tốt, gây ra tình trạng viêm nhiễm mãn tính, phá hoại mô và xương hàm, làm giảm khả năng tích hợp xương của implant. Loãng xương cũng ảnh hưởng trực tiếp tới độ chắc chắn của xương, khiến quá trình cấy ghép khó đạt hiệu quả tối ưu. Ngoài ra, vệ sinh kém dễ dẫn đến vi khuẩn phát triển, tạo điều kiện cho các biến chứng implant phát sinh nhanh chóng.

Chính vì những tác nhân này, việc kiểm soát tốt các yếu tố bệnh lý nền, duy trì vệ sinh sạch sẽ, tuân thủ hướng dẫn của nha sĩ là điều kiện tiên quyết để giảm thiểu nguy cơ thất bại của implant. Phòng bệnh hơn chữa bệnh, và đó chính là chìa khóa để tiến gần hơn tới mục tiêu tỷ lệ thành công implant 2025 như mong muốn.

Yếu tố từ bác sĩ/phòng khám: sai kỹ thuật, chọn sai loại trụ, vô trùng không đảm bảo

Chất lượng kỹ thuật của bác sĩ và thiết bị tại phòng khám đóng vai trò trung tâm quyết định thành công của trồng răng implant. Sai sót trong thao tác phẫu thuật, chọn loại trụ không phù hợp hoặc không đảm bảo vô trùng dẫn đến các biến chứng implant nặng nề như viêm, lung lay, thất bại hoặc gãy trụ.

Việc thực hiện kỹ thuật chính xác, đảm bảo vô trùng tuyệt đối cùng với việc lựa chọn loại implant phù hợp từng trường hợp là yêu cầu bắt buộc. Đặc biệt, một bác sĩ có đủ chứng chỉ, kinh nghiệm nhiều ca thành công, sẽ luôn nghiên cứu, cập nhật công nghệ mới để hạn chế tối đa các rủi ro phát sinh trong quá trình cấy ghép.

Ngoài ra, việc không tuân thủ đúng quy trình vệ sinh, dùng dụng cụ không đạt chuẩn hoặc sử dụng trụ giả kém chất lượng cũng góp phần làm tăng tỷ lệ thất bại trong quá trình này. Các nha khoa uy tín, có chính sách bảo hành rõ ràng sẽ đảm bảo sự an toàn và hiệu quả tối đa, tạo lòng tin cho khách hàng khi lựa chọn dịch vụ.

Yếu tố từ sản phẩm: trụ Implant kém chất lượng, không rõ nguồn gốc

Chọn lựa vật liệu implant chính hãng, có nguồn gốc rõ ràng là yếu tố hàng đầu để giảm thiểu các biến chứng implant không mong muốn. Trụ implant kém chất lượng, không đạt tiêu chuẩn, dễ gây ra tình trạng nhiễm độc, gãy hay đào thải sớm.

Các thương hiệu uy tín như Straumann, Nobel, Dentium, Osstem thường đảm bảo các tiêu chuẩn quốc tế về chất lượng, giúp thúc đẩy quá trình tích hợp xương nhanh, bền vững hơn. Trong khi đó, các loại implant không rõ nguồn gốc không chỉ giảm hiệu quả mà còn tiềm ẩn nguy cơ gây ra các phản ứng phụ, độc tố hoặc viêm nhiễm kéo dài.

Do đó, việc đầu tư chọn lựa vật liệu implant chính hãng là cách bảo vệ sức khỏe răng miệng lâu dài, giảm thiểu các biến chứng implant và nâng cao tỷ lệ thành công trong thực hiện phẫu thuật. Các nha khoa lý tưởng sẽ luôn cam kết cung cấp sản phẩm đạt chuẩn, có chế độ bảo hành rõ ràng, giúp khách hàng yên tâm hơn về chất lượng điều trị.

Cách xử lý biến chứng Implant trong từng trường hợp

Khi gặp các vấn đề về implant, việc xử lý phù hợp và kịp thời là yếu tố quyết định thành công cuối cùng. Các biến chứng implant cần được đánh giá chính xác dựa theo từng tình trạng cụ thể, từ đó đưa ra phương pháp điều trị tối ưu, đảm bảo giữ gìn sức khỏe và khả năng nhai của răng giả.

Cách xử lý biến chứng Implant trong từng trường hợp

Viêm quanh Implant → vệ sinh chuyên sâu, laser, dùng kháng sinh

Trong trường hợp viêm quanh implant, việc đầu tiên là cần xác định mức độ nặng nhẹ của viêm để đưa ra phương án điều trị phù hợp. Đối với các viêm nhẹ, các thao tác vệ sinh chuyên sâu dưới hướng dẫn của bác sĩ sẽ giúp loại bỏ mảng bám, cặn thức ăn tích tụ gây viêm.

Ngoài ra, phương pháp laser trong điều trị viêm quanh implant đang được ưa chuộng nhờ khả năng loại bỏ vi khuẩn, giảm đau, giảm tổn thương mô mềm. Kết hợp dùng thuốc kháng sinh phù hợp, kiểm tra tổng thể tình trạng bệnh lý toàn diện sẽ giúp kiểm soát tốt tình trạng viêm, tránh lây lan hoặc tiêu xương nặng hơn.

Trong các ca nặng, buộc phải tháo trụ implant để làm sạch entirely vùng nhiễm trùng rồi tiến hành các bước điều trị tái tạo mô mềm, phục hồi mô nướu và cân nhắc cấy lại implant sau khi tình trạng viêm đã ổn định. Phương pháp này đảm bảo an toàn lâu dài và tạo tiền đề cho implant mới gắn bó vững chắc hơn trong tương lai.

Không tích hợp xương → tháo trụ, cấy ghép lại sau 3–6 tháng

Khi phát hiện implant không tích hợp xương dẫn tới thất bại, bước xử lý phù hợp là tháo trụ cấy ghép hiện tại. Sau đó, đợi từ 3–6 tháng để mô mềm và xương hàm phục hồi, đều đặn theo dõi các chỉ số về mật độ xương, mức độ ổn định.

Trong thời gian chờ, bác sĩ có thể tiến hành các phương pháp hỗ trợ như ghép xương, nâng xoang hoặc dùng các vật liệu đặc biệt giúp xương tái tạo nhanh hơn. Sau khi đã đạt đủ điều kiện, trụ implant mới sẽ được cấy lại, tăng khả năng thành công và giảm thiểu các biến chứng implant.

Quá trình này đòi hỏi sự kiên trì của bệnh nhân và sự hướng dẫn rõ ràng từ bác sĩ để đảm bảo kết quả lâu dài, bền vững và tránh mắc phải các lỗi kỹ thuật khiến khả năng thất bại cao hơn. Thực hiện đúng quy trình, tuân thủ chế độ chăm sóc là yếu tố quyết định thành công cuối cùng.

Tụt lợi → ghép lợi tái tạo mô mềm

Dưới tác động của viêm, mất mô mềm hoặc do tác động của quá trình phục hình không đạt kỹ thuật, tụt lợi quanh implant có thể xảy ra, làm lộ trụ kim loại, ảnh hưởng lớn đến thẩm mỹ và khả năng giữ cố định của implant.

Trong trường hợp này, phương pháp điều trị hiệu quả là ghép lợi hoặc tái tạo mô mềm, giúp phục hồi mô nướu và tăng khả năng che phủ, đồng thời ngăn ngừa vi khuẩn xâm nhập sâu hơn vào các mô liên kết. Bệnh nhân cần chú ý vệ sinh sạch sẽ, hạn chế những khẩu phần ăn gây kích thích mô mềm mới cấy ghép.

Kỹ thuật ghép lợi tiên tiến kết hợp các liệu pháp phục hồi mô mềm, giúp ổn định lại cấu trúc nướu, nâng cao tính thẩm mỹ, kéo dài tuổi thọ của implant và tránh các biến chứng implant phát sinh do tụt lợi kéo dài. Đây là một bước chăm sóc hậu phẫu quan trọng, cần thực hiện đúng theo chỉ định của bác sĩ để đạt kết quả tối ưu nhất.

Nhiễm trùng vết mổ sau cấy ghép Implant

Nhiễm trùng vết mổ là biến chứng implant có thể gây ra các hệ quả nghiêm trọng nếu không được xử lý nhanh chóng. Điều trị bằng kháng sinh phù hợp, vệ sinh cá nhân, hạn chế các hoạt động gây nhiệt hoặc tổn thương vùng cấy ghép là các phương pháp nằm trong phạm vi xử lý chính.

Trong các trường hợp nặng, có thể cân nhắc sử dụng laser để loại bỏ vi khuẩn, giảm đau, thúc đẩy quá trình lành thương nhanh hơn. Đặc biệt, cần theo dõi sát sao các dấu hiệu viêm nhiễm mới có thể tiềm tàng để xử lý kịp thời, tránh gây tiêu xương hoặc thất bại hoàn toàn.

Phòng ngừa hiệu quả dựa trên chuẩn vô trùng trong quá trình phẫu thuật, hướng dẫn chăm sóc tại nhà, dùng thuốc đúng liều lượng sẽ giúp giảm thiểu tối đa các biến chứng implant do nhiễm trùng. Các nha khoa uy tín luôn đặt một tiêu chuẩn cao về vệ sinh, công nghệ và kỹ thuật để khách hàng yên tâm về chất lượng dịch vụ.

Xu hướng mới trong phòng ngừa biến chứng Implant

Trong tương lai gần, việc nâng cao tỷ lệ thành công của implant nha khoa sẽ dựa trên các xu hướng và công nghệ tiên tiến, góp phần giảm thiểu các biến chứng implant kể cả những vấn đề phức tạp nhất. Các ý tưởng mới, đột phá sẽ giúp người bệnh cảm thấy tự tin hơn, an toàn hơn trong quá trình trồng răng.

Xu hướng mới trong phòng ngừa biến chứng Implant

AI hỗ trợ chẩn đoán sớm viêm quanh Implant qua hình ảnh X-quang/CT

Công nghệ trí tuệ nhân tạo (AI) đang ngày càng trở nên phổ biến trong chẩn đoán nha khoa, đặc biệt đối với việc phát hiện sớm viêm quanh implant và các biến chứng implant khác. Các hệ thống AI có thể phân tích hình ảnh X-quang, CT, mô phỏng quá trình nhiễm trùng, viêm, giúp bác sĩ xác định chính xác mức độ tổn thương.

Sử dụng trí tuệ nhân tạo giúp rút ngắn thời gian chẩn đoán, nâng cao độ chính xác, từ đó giúp đưa ra các biện pháp can thiệp sớm, giảm thiểu các hậu quả nghiêm trọng. Đặc biệt, các phần mềm chẩn đoán tự động có thể cảnh báo những biến chứng tiềm tàng trước khi các triệu chứng lâm sàng rõ rệt xuất hiện.

Vật liệu Implant xử lý bề mặt tiên tiến giúp tích hợp xương nhanh hơn

Các nhà sản xuất vật liệu implant đã đầu tư nghiên cứu để tạo ra các loại trụ có bề mặt xử lý công nghệ cao, giúp thúc đẩy quá trình tích hợp xương diễn ra nhanh và hiệu quả hơn. Trụ implant thế hệ mới sử dụng các lớp phủ chứa khoáng chất, protein hoặc các vật liệu sinh học giúp kích thích sinh trưởng tế bào, đẩy nhanh quá trình tạo liên kết vững chắc giữa implant và xương.

Vật liệu này không chỉ giảm thiểu các biến chứng implant như thất bại do không tích hợp, mà còn nâng cao tỷ lệ thành công và tuổi thọ của implant trong điều kiện môi trường khỏe mạnh nhất. Việc này đặc biệt phù hợp với các bệnh nhân có mô xương yếu hoặc gặp các vấn đề về hệ miễn dịch.

Chính sách bảo hành implant trọn đời tại các nha khoa uy tín

Nhằm tăng độ an toàn và niềm tin của khách hàng, nhiều nha khoa lớn đã bắt đầu triển khai chính sách bảo hành implant trọn đời. Điều này thể hiện cam kết của phòng khám về chất lượng, quy trình kỹ thuật, và thời gian duy trì hiệu quả của trụ implant. Chính sách này giúp khách hàng yên tâm hơn trong quá trình lựa chọn điều trị, đồng thời khuyến khích bệnh nhân chăm sóc cẩn thận sau cấy ghép.

Hơn nữa, các hệ thống bảo hành trọn đời còn đi kèm các dịch vụ kiểm tra, bảo trì định kỳ, xử lý miễn phí các biến chứng implant sớm, giữ cho kết quả duy trì lâu dài qua nhiều năm. Đây là xu hướng tất yếu giúp nâng cao tỷ lệ thành công, giảm thiểu thất bại và bảo vệ tối đa sự đầu tư cho khách hàng trong tương lai 2025.

Công nghệ laser trong xử lý viêm quanh Implant giảm 40% tỷ lệ thất bại

Trong các phòng khám đi tiên phong trong công nghệ mới, việc áp dụng laser trong điều trị viêm quanh implant đã chứng minh hiệu quả rõ rệt. Một nghiên cứu thực tế tại phòng khám X cho thấy, việc sử dụng laser trong xử lý viêm đã giúp giảm tới 40% tỷ lệ thất bại, đồng thời rút ngắn thời gian hồi phục và giảm đau sau điều trị.

Laser giúp tiêu diệt vi khuẩn, thúc đẩy quá trình lành mô, hạn chế khả năng viêm nhiễm phát triển lan rộng. Chiến lược này trở thành một bước đột phá trong kiểm soát các biến chứng implant, mang lại lợi ích rõ rệt cho bệnh nhân và nâng cao tỷ lệ thành công của kỹ thuật.

Làm sao để hạn chế tối đa biến chứng Implant?

Khác với các phương pháp phục hình khác, implant nha khoa đòi hỏi sự chính xác cao và chăm sóc kỹ lưỡng để đạt được hiệu quả tối ưu nhất. Chính vì thế, để hạn chế các biến chứng implant xảy ra, người bệnh cần có những hành động đúng đắn, từ khi lựa chọn đơn vị thực hiện, đến theo dõi và chăm sóc sau điều trị.

Làm sao để hạn chế tối đa biến chứng Implant?

Chọn bác sĩ có chứng chỉ cấy ghép, nhiều ca thành công

Chất lượng của bác sĩ là nhân tố quyết định đến thành công của quy trình cấy ghép implant. Một bác sĩ có chứng chỉ chuyên môn phù hợp, phong cách làm việc cẩn thận, đã thực hiện nhiều ca thành công sẽ giúp hạn chế tối đa các biến chứng implant. Quy trình chuẩn của bác sĩ sẽ giảm nguy cơ sai sót, đảm bảo trụ implant phù hợp với cấu trúc xương và hài hòa trong quỹ đạo sinh lý của răng.

Thay vì chọn các phòng khám giá rẻ, không rõ danh tiếng, khách hàng nên ưu tiên các địa chỉ có đội ngũ bác sĩ chuyên sâu, có chứng chỉ quốc tế, đã có thành tích tốt trong nhiều ca cấy ghép. Điều này giúp bạn tự tin hơn khi quyết định lựa chọn dịch vụ, giảm thiểu rủi ro thất bại hoặc các biến chứng implant nghiêm trọng.

Chọn trụ Implant từ hãng uy tín (Straumann, Nobel, Dentium, Osstem)

Việc sử dụng các loại implant chính hãng, có nguồn gốc rõ ràng và đạt tiêu chuẩn quốc tế là bước thiết yếu để đảm bảo kết quả lâu dài. Các thương hiệu danh tiếng như Straumann, Nobel, Dentium hay Osstem đều đảm bảo các tiêu chuẩn về độ bền, khả năng tích hợp xương, hạn chế các phản ứng phụ hay đào thải.

Chọn trụ implant từ hãng uy tín còn giúp phòng tránh các vấn đề như gãy, lệch trục, hoặc viêm nhiễm do chất lượng kém. Hơn nữa, các sản phẩm này đều có chế độ bảo hành tốt, khách hàng yên tâm về chất lượng, hạn chế các biến chứng implant do vật liệu không phù hợp hoặc kém chất lượng.

Tuân thủ nghiêm ngặt quy trình chăm sóc sau cấy ghép

Chăm sóc hậu phẫu là yếu tố không thể xem nhẹ. Người bệnh cần tuân thủ đúng hướng dẫn của bác sĩ về chế độ ăn uống, vệ sinh răng miệng, dùng thuốc đúng thời gian, không tự ý bỏ thuốc hoặc làm việc quá sức gây tác động tiêu cực.

Việc duy trì vệ sinh đúng cách giúp loại bỏ mảng bám, hạn chế vi khuẩn phát triển, qua đó giảm thiểu các biến chứng implant như viêm nhiễm hoặc tụt lợi. Tái khám định kỳ 6 tháng/lần cũng giúp kiểm tra rõ tình trạng ổn định, phát hiện các vấn đề sớm hơn để xử lý kịp thời.

Định kỳ tái khám 6 tháng/lần để phát hiện biến chứng sớm

Việc theo dõi sau khi cấy ghép là hoạt động quan trọng, giúp phát hiện những bất thường còn trong giai đoạn đầu. Các kiểm tra định kỳ giúp bác sĩ kịp thời phát hiện các dấu hiệu của viêm quanh implant, tụt lợi, hoặc các dấu hiệu khác như lung lay, gãy trụ.

Nếu phát hiện sớm các biến chứng implant, khả năng xử lý thành công sẽ cao hơn, phí tổn nhỏ hơn và giảm thiểu các rủi ro nghiêm trọng. Đó chính là lý do các nha khoa uy tín luôn khuyến khích khách hàng duy trì thói quen tái khám đều đặn và tuân thủ các hướng dẫn chăm sóc.

Implant nha khoa là một giải pháp tối ưu cho việc phục hình răng mất, mang lại kết quả khả quan và lâu dài nhưng không phải không có rủi ro. Việc nắm bắt rõ các biến chứng implant, nguyên nhân gây ra và cách xử lý phù hợp sẽ giúp người bệnh tự tin hơn khi lựa chọn phương pháp này.

Các biến chứng có thể được phòng ngừa bằng cách lựa chọn phòng khám uy tín, bác sĩ có chứng chỉ, đảm bảo vô trùng, chọn vật liệu chất lượng cao và chăm sóc đúng hướng sau điều trị. Đồng thời, các xu hướng công nghệ mới như AI chẩn đoán sớm, vật liệu bề mặt tiên tiến, chính sách bảo hành trọn đời sẽ nâng cao tỷ lệ thành công của implant trong tương lai.

Hãy luôn giữ vững niềm tin vào khả năng thành công của phương pháp này, và đừng quên rằng, với sự chuẩn bị kỹ càng và chăm sóc đúng cách, các biến chứng implant sẽ trở thành quá khứ, mở ra cơ hội sở hữu hàm răng khỏe mạnh, thẩm mỹ và tự nhiên hơn.

Nếu bạn quan tâm đến dịch vụ trồng răng implant, hãy liên hệ với các nha khoa uy tín để được tư vấn và chuẩn bị tốt nhất cho hành trình phục hình của mình. Đặt sự quan tâm đúng mức sẽ là chìa khóa giúp bạn sở hữu kết quả thành công như ý muốn!
BÀI VIẾT CÙNG CHUYÊN MỤC
Cập nhật 28/10/2025
Trong lĩnh vực nha khoa hiện nay, chi phí implant nha khoa luôn là chủ đề khiến nhiều khách hàng quan tâm nhất khi có ý định phục hình răng mất. Với việc ngày càng có nhiều thương hiệu cùng các dòng sản phẩm đa dạng, việc cập nhật bảng giá implant nha khoa 2025 giúp khách hàng có cái nhìn rõ ràng hơn về các lựa chọn phù hợp với tài chính của mình.
Cập nhật 04/10/2025
Chào mừng bạn đến với cẩm nang implant nha khoa, nguồn thông tin toàn diện giúp bạn hiểu rõ về implant nha khoa từ A đến Z. Từ quy trình, chi phí, các loại implant phù hợp đến chăm sóc sau điều trị, bài viết này sẽ mang đến mọi kiến thức cần thiết để bạn có quyết định đúng đắn khi lựa chọn phương pháp trồng răng hiện đại.
Cập nhật 24/10/2025
Trong lĩnh vực nha khoa, implant kỹ thuật số ngày càng trở thành tiêu chuẩn mới, mở ra một kỷ nguyên mới đầy triển vọng với sự kết hợp của công nghệ số hóa và y học chính xác. Với xu hướng phát triển nhanh chóng, đến năm 2025, guided surgery implant sẽ là giải pháp tối ưu, giúp các bác sĩ tạo ra quy trình phẫu thuật nhanh hơn, an toàn hơn, và chính xác hơn bao giờ hết. Sự xuất hiện của các công nghệ mới như implant kỹ thuật số 3D, công nghệ định vị implant, implant navigation và phần mềm lập kế hoạch implant đã mang lại những bước tiến vượt bậc trong ngành nha khoa.
Cập nhật 03/10/2025
Trong lĩnh vực nha khoa implant, bộ kit đặt implant đóng vai trò không thể thiếu trong quá trình thực hiện các ca phẫu thuật. Đây là bộ dụng cụ hỗ trợ tối ưu, giúp các bác sĩ tiến hành các thao tác một cách chính xác, an toàn và hiệu quả nhất.
GIỎ HÀNG (0 sản phẩm)

Tổng tiền:

sản phẩm: 0