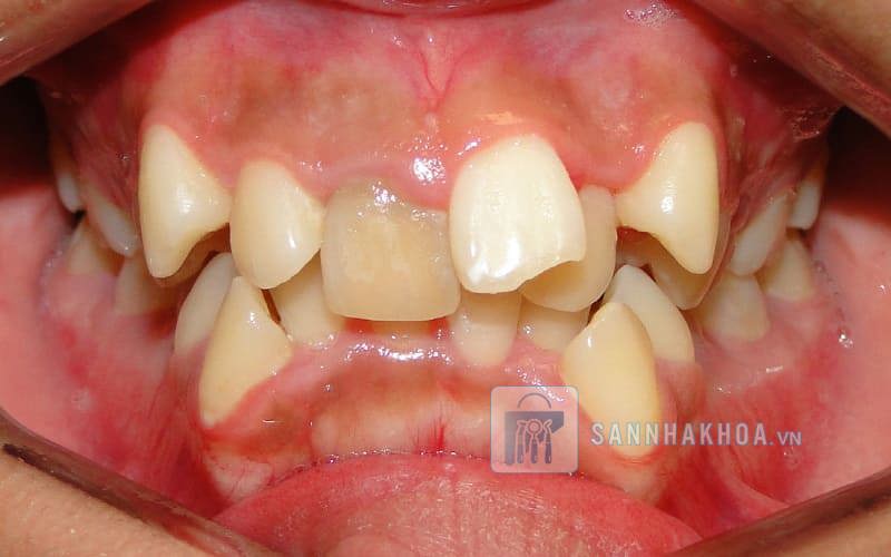
1. Răng mọc lệch là gì?
Răng mọc lệch là tình trạng răng không nằm đúng vị trí chuẩn trên cung hàm, gây ra sự mất cân đối về hình dạng và chức năng. Khi các răng mọc lệch, chúng có thể bị xoay, nghiêng, chen chúc hoặc cách xa nhau, làm ảnh hưởng đến cả thẩm mỹ và sức khỏe răng miệng.
Hiện tượng này thường bắt nguồn từ nhiều nguyên nhân, bao gồm:
-
Di truyền: Các yếu tố di truyền từ cha mẹ có thể quyết định kích thước hàm và răng, dẫn đến sự chênh lệch không tương xứng.
-
Thói quen xấu: Các hành động như mút tay, đẩy lưỡi, hoặc cắn móng tay từ nhỏ có thể ảnh hưởng đến quá trình phát triển của răng.
-
Yếu tố môi trường: Các vấn đề như mất răng sớm, chấn thương răng, hoặc các bệnh lý nha khoa cũng có thể gây ra răng mọc lệch.
Tình trạng răng mọc lệch không chỉ ảnh hưởng đến thẩm mỹ mà còn gây ra những hậu quả nghiêm trọng như khó khăn trong ăn nhai, phát âm không rõ ràng, hoặc tăng nguy cơ mắc các bệnh lý răng miệng như sâu răng và viêm nướu.

2. Tại sao nên chỉnh răng mọc lệch?
Răng mọc lệch không chỉ ảnh hưởng đến thẩm mỹ mà còn gây ra nhiều vấn đề sức khỏe nghiêm trọng. Việc điều chỉnh răng mọc lệch mang lại nhiều lợi ích thiết thực cả về ngoại hình lẫn sức khỏe tổng thể.

2.1 Cải thiện thẩm mỹ và tự tin khi giao tiếp
Một hàm răng đều và đẹp có vai trò quan trọng trong việc tạo nên nụ cười rạng rỡ và thu hút. Khi răng mọc lệch, nụ cười của bạn có thể bị ảnh hưởng, khiến bạn cảm thấy thiếu tự tin khi trò chuyện hoặc xuất hiện trước đám đông.
-
Thẩm mỹ khuôn mặt: Răng mọc đúng vị trí giúp khuôn mặt cân đối, cải thiện vẻ đẹp tổng thể.
-
Tăng tự tin: Một hàm răng đẹp sẽ giúp bạn thoải mái cười và giao tiếp, tạo ấn tượng tốt hơn trong các mối quan hệ cá nhân và công việc.
2.2 Tăng khả năng ăn nhai và hỗ trợ tiêu hóa tốt hơn
Răng không chỉ đóng vai trò thẩm mỹ mà còn là bộ phận quan trọng trong hệ thống tiêu hóa. Khi răng mọc lệch, khả năng ăn nhai bị suy giảm, ảnh hưởng đến việc nghiền nát thức ăn.
-
Hiệu quả ăn nhai: Răng mọc lệch thường làm thức ăn không được nhai kỹ, gây khó khăn cho dạ dày trong quá trình tiêu hóa.
-
Cải thiện tiêu hóa: Khi răng được chỉnh đều, chức năng ăn nhai trở nên hiệu quả hơn, hỗ trợ quá trình tiêu hóa và hấp thụ dinh dưỡng.
2.3 Ngăn ngừa các bệnh lý răng miệng (viêm nướu, sâu răng)
Răng mọc lệch có thể gây ra nhiều vấn đề về sức khỏe răng miệng. Các khe hở hoặc vùng chen chúc giữa răng trở thành nơi lý tưởng cho vi khuẩn và mảng bám phát triển, dẫn đến các bệnh lý răng miệng như:
-
Sâu răng: Thức ăn dễ mắc kẹt tại những khu vực răng lệch, tạo điều kiện cho vi khuẩn gây sâu răng phát triển.
-
Viêm nướu: Các mảng bám không được làm sạch dễ gây viêm nướu, dẫn đến nướu sưng đau, chảy máu.
-
Nguy cơ mất răng: Nếu không được điều trị, viêm nướu có thể tiến triển thành viêm nha chu, ảnh hưởng nghiêm trọng đến chân răng và cấu trúc xương hàm.
Việc chỉnh răng mọc lệch giúp giảm thiểu các vấn đề này, đồng thời tạo điều kiện cho việc vệ sinh răng miệng trở nên dễ dàng và hiệu quả hơn. Điều này không chỉ giữ cho răng miệng luôn khỏe mạnh mà còn góp phần nâng cao chất lượng cuộc sống.
3. Chỉnh răng mọc lệch không cần niềng có hiệu quả không?
Chỉnh răng mọc lệch không cần niềng là một phương pháp ngày càng được nhiều người quan tâm, đặc biệt với những ai e ngại sự bất tiện và thời gian dài khi niềng răng truyền thống. Các phương pháp này thường áp dụng cho các trường hợp răng lệch nhẹ hoặc vừa, mang lại hiệu quả thẩm mỹ và chức năng nhất định. Tuy nhiên, hiệu quả thực tế phụ thuộc vào tình trạng răng của từng người cũng như phương pháp được áp dụng.
Đối với răng mọc lệch nhẹ, các kỹ thuật như dùng lưỡi hoặc tay để điều chỉnh vị trí răng có thể đem lại sự cải thiện đáng kể nếu thực hiện đúng cách và kiên trì. Trong khi đó, các giải pháp tại nha khoa như bọc răng sứ hoặc dán sứ Veneer giúp điều chỉnh nhanh chóng, mang lại hàm răng đều đặn và nụ cười rạng rỡ chỉ trong thời gian ngắn. Tuy nhiên, các phương pháp này chỉ tác động đến hình dáng bề ngoài của răng chứ không thay đổi được cấu trúc hàm. Vì vậy, với những trường hợp răng lệch nặng hoặc do xương hàm, phẫu thuật chỉnh hàm có thể là lựa chọn tối ưu.
Tóm lại, chỉnh răng không cần niềng có thể mang lại hiệu quả tốt, nhưng không phải là giải pháp phù hợp cho tất cả mọi người. Trước khi quyết định áp dụng, bạn nên tham khảo ý kiến của bác sĩ nha khoa để được tư vấn phương pháp phù hợp nhất với tình trạng răng miệng của mình.

4. Cách chỉnh răng mọc lệch không cần niềng tại nhà
Nếu bạn muốn chỉnh răng mọc lệch mà không phải sử dụng niềng răng, một số phương pháp đơn giản tại nhà có thể giúp cải thiện tình trạng răng lệch nhẹ. Những cách này đòi hỏi sự kiên nhẫn, thực hiện đều đặn và đúng kỹ thuật để đạt hiệu quả tốt nhất.

4.1 Dùng lưỡi đẩy răng
Dùng lưỡi đẩy răng là một phương pháp tự nhiên, phù hợp với trẻ nhỏ hoặc những người có răng mọc lệch nhẹ. Bằng cách sử dụng phần đầu hoặc mặt bên của lưỡi, bạn có thể nhẹ nhàng đẩy vào vị trí răng bị lệch để giúp chúng dần dần trở lại đúng chỗ. Chẳng hạn, nếu răng bị nghiêng về phía trước, hãy dùng lưỡi đẩy nhẹ ra sau, hoặc nếu răng chen chúc, hãy điều chỉnh vị trí cho hài hòa hơn.
Phương pháp này đòi hỏi sự kiên trì, thực hiện hàng ngày trong thời gian dài. Bạn có thể kết hợp với việc tạo thói quen đúng như giữ răng đều khi cắn và hạn chế các hành động gây ảnh hưởng như cắn móng tay hay đẩy lưỡi mạnh vào răng. Tuy nhiên, nếu bạn cảm thấy đau hoặc khó chịu, nên dừng lại và tham khảo ý kiến bác sĩ.
4.2 Dùng ngón tay đẩy răng
Ngoài việc dùng lưỡi, bạn cũng có thể sử dụng tay để hỗ trợ điều chỉnh vị trí răng. Với phương pháp này, hãy rửa tay sạch sẽ và dùng ngón tay đặt lên răng bị lệch, sau đó nhẹ nhàng đẩy theo hướng mong muốn. Ví dụ, nếu răng bị lệch ra ngoài, bạn có thể dùng tay đẩy nhẹ vào trong.
Tuy nhiên, hãy nhớ không áp dụng lực quá mạnh hoặc thực hiện đột ngột vì điều này có thể gây đau nhức hoặc tổn thương chân răng. Thay vào đó, hãy thực hiện với lực vừa đủ và kiên trì trong thời gian dài để giúp răng dần dịch chuyển.
Cả hai phương pháp này chỉ phù hợp với răng lệch nhẹ và chưa đạt đến mức cần can thiệp y tế. Đối với các trường hợp phức tạp hơn, bạn nên tìm đến nha khoa để được tư vấn và điều trị chuyên sâu.
5. Chỉnh răng mọc lệch tại nha khoa
Với những trường hợp răng mọc lệch ở mức độ vừa đến nặng hoặc cần giải pháp nhanh chóng, việc tìm đến các phương pháp chỉnh răng chuyên nghiệp tại nha khoa là lựa chọn hàng đầu. Tại đây, bạn sẽ được thăm khám và tư vấn các phương pháp hiện đại, phù hợp với tình trạng của mình.

5.1 Bọc răng sứ
Bọc răng sứ là một phương pháp hiệu quả và phổ biến để chỉnh sửa răng mọc lệch. Quá trình này bao gồm việc mài nhỏ răng gốc và lắp một mão sứ bên ngoài để tạo dáng răng mới, giúp răng trở nên đều đặn và hài hòa hơn.
Phương pháp này không chỉ giúp khắc phục tình trạng lệch lạc mà còn mang lại nụ cười trắng sáng, tự nhiên. Ngoài ra, răng sứ có độ bền cao và khả năng chịu lực tốt, giúp bạn ăn nhai thoải mái mà không lo hư hại. Tuy nhiên, bọc răng sứ đòi hỏi sự tỉ mỉ của bác sĩ và cần được thực hiện tại nha khoa uy tín để đảm bảo an toàn.
5.2 Dán sứ Veneer
Nếu bạn muốn chỉnh sửa răng lệch nhẹ mà không cần mài quá nhiều răng gốc, dán sứ Veneer sẽ là giải pháp hoàn hảo. Veneer là một lớp sứ mỏng được dán trực tiếp lên bề mặt răng, giúp che đi các khuyết điểm như răng lệch, thưa, hoặc bị sứt mẻ.
Ưu điểm nổi bật của phương pháp này là tính thẩm mỹ cao, màu sắc tự nhiên, và quá trình thực hiện nhanh chóng, ít xâm lấn. Dán sứ Veneer không chỉ khắc phục răng mọc lệch mà còn giữ cho răng thật được bảo vệ tối đa, mang lại nụ cười rạng rỡ chỉ sau một vài buổi hẹn.
5.3 Phẫu thuật xương hàm
Đối với những trường hợp răng mọc lệch do sai lệch cấu trúc xương hàm, chẳng hạn như hàm hô, móm hoặc lệch toàn bộ khớp cắn, phẫu thuật chỉnh xương hàm là giải pháp triệt để nhất.
Phương pháp này can thiệp trực tiếp vào xương hàm để định hình lại vị trí, giúp hàm trở nên cân đối và răng đều đẹp. Tuy nhiên, đây là một thủ thuật phức tạp, đòi hỏi đội ngũ bác sĩ chuyên môn cao và thiết bị hiện đại. Sau phẫu thuật, bạn có thể cần thời gian để hồi phục và thích nghi với hàm mới, nhưng kết quả mang lại thường rất lâu dài và toàn diện.
Việc chỉnh răng mọc lệch mà không cần niềng răng có thể mang lại hiệu quả đối với những trường hợp răng lệch nhẹ và vừa, tùy thuộc vào phương pháp áp dụng. Các biện pháp tại nhà như dùng lưỡi hoặc tay để điều chỉnh có thể cải thiện tình trạng răng, nhưng chỉ phù hợp với răng lệch nhẹ. Đối với các trường hợp phức tạp hơn, các phương pháp chuyên sâu tại nha khoa như bọc răng sứ, dán sứ Veneer, hoặc phẫu thuật xương hàm sẽ mang lại kết quả nhanh chóng và hiệu quả lâu dài. Tuy nhiên, trước khi quyết định phương pháp nào, việc tham khảo ý kiến bác sĩ nha khoa là rất quan trọng để lựa chọn giải pháp phù hợp nhất với tình trạng của từng người.
